고립성 폐결절 증상
고립성 폐결절의 경우, 많은 사람들이 별다른 증상 없이 우연히 발견되곤 합니다. 그러나 경우에 따라 일부 증상이 나타날 수 있습니다. 이러한 증상은 결절의 크기, 위치, 그리고 원인에 따라 달라질 수 있습니다. 다음은 고립성 폐결절의 일반적인 증상들입니다.
- 기침: 지속적인 기침이 발생하거나, 때때로 기침을 하는 경우가 있습니다.
- 흉통: 결절이 폐의 특정 부분에 위치해 있을 경우, 가슴 통증이 발생할 수 있습니다.
- 호흡 곤란: 결절이 크거나 여러 개 있을 경우, 숨쉬기 어려울 수 있습니다.
- 체중 감소: 불명의 체중 감소가 관찰될 수 있습니다.
- 발열: 불규칙적인 발열이 나타날 수 있습니다.
이러한 증상들이 반드시 고립성 폐결절을 의미하는 것은 아닙니다. 위의 증상들은 다른 질병들, 예를 들어 폐염, 기관지염, 심장 질환 등에 의해서도 나타날 수 있습니다. 따라서 이러한 증상이 있다면, 의료 전문가와 상의하셔서 적절한 검사를 받는 것이 중요합니다.

고립성 폐결절 치료방법
고립성 폐결절의 치료는 결절의 원인, 크기, 성장 속도, 그리고 환자의 일반적인 건강 상태 등 여러 요소를 고려하여 결정됩니다.
- 관찰: 작은 크기의 결절(일반적으로 8-10mm 미만)이며, 암의 위험이 낮다고 판단되는 경우에는 일정 기간 동안 관찰하는 것이 일반적입니다. 이는 컴퓨터 단층촬영(CT) 스캔을 사용하여 일정 기간 동안 결절의 크기 변화를 주기적으로 확인하는 것을 의미합니다.
- 수술: 결절이 커지거나, 초기 스캔에서 암의 가능성이 높다고 판단되는 경우, 결절을 제거하는 수술을 고려할 수 있습니다. 폐 절제술이나 VATS(비디오 지원 흉부 수술)와 같은 미세 침습 수술이 흔히 사용됩니다.
- 생검: 결절이 중간 크기(10-20mm)이거나 암의 위험이 불분명한 경우, 생검을 통해 결절의 세포를 살펴보는 것을 고려할 수 있습니다. 이는 종종 브로코스코피, CT가이드 바늘 생검, 또는 수술적 절제를 통해 이루어집니다.
- 약물 치료: 결절이 감염 또는 특정 기타 조건(예: 결핵, 곰팡이 감염) 때문에 발생한 것으로 확인된 경우, 해당 조건을 치료하는 약물 치료가 필요할 수 있습니다.
주의할 점은 고립성 폐결절이라도 암의 가능성이 있으므로, 의사의 지시를 철저히 따르는 것이 중요합니다. 이에 대한 의사와의 상의 없이 스스로 판단하거나 치료를 시도하지 마세요.

고립성 폐결절 곰팡이균
고립성 폐결절과 곰팡이 감염이 연관되어 있는 경우가 있습니다. 곰팡이는 흡입된 공기와 함께 폐로 들어가 감염을 일으킬 수 있습니다. 이러한 곰팡이 감염이 진행되면 결절, 즉 폐의 작은 덩어리를 형성할 수 있습니다.
폐에 발생한 곰팡이 감염의 일반적인 형태는 아스퍼질루스, 크립토코쿠스, 히스토플라즈마, 코카이디오이데스와 같은 종류가 있습니다. 곰팡이의 종류와 감염의 정도에 따라 증상은 다양하며, 일부 경우에는 심각한 폐 질환을 유발할 수 있습니다.
고립성 폐결절이 발견되면, 의료진은 이 결절의 원인을 찾기 위해 여러 검사를 수행하게 됩니다. 만약 곰팡이 감염이 원인이라고 판단되면, 약물 치료(대표적으로 항진균제)가 주로 사용됩니다.
그러나 모든 고립성 폐결절이 곰팡이 감염 때문인 것은 아닙니다. 고립성 폐결절은 다른 원인, 예를 들어 결핵, 비특이적인 폐염, 악성 종양 등으로 인해 발생할 수도 있습니다. 따라서 고립성 폐결절의 원인을 정확히 파악하려면 의사의 지시에 따라 적절한 검사를 받아야 합니다.

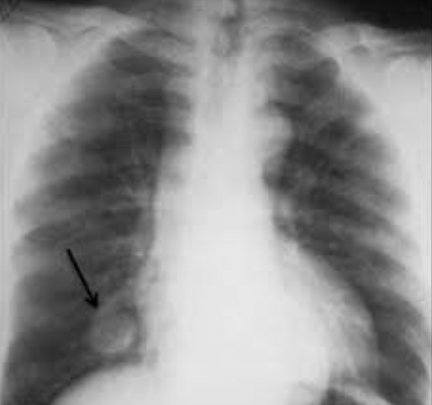
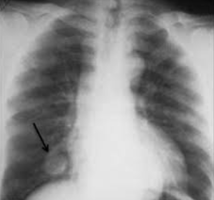
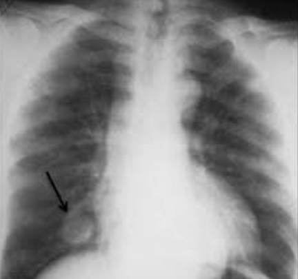
고립성 폐결절 암일 가능성
고립성 폐결절은 다양한 원인에 의해 발생할 수 있으며, 이 중 하나는 폐암입니다. 결절의 크기, 모양, 가장자리의 성질, 성장 속도, 그리고 환자의 병력 등에 따라 결절이 암일 가능성을 추정할 수 있습니다.
결절의 크기는 암의 가능성과 큰 연관이 있습니다. 일반적으로 8mm 미만의 결절은 암의 위험이 상대적으로 낮지만, 결절이 커질수록 암일 가능성이 증가합니다. 그러나 크기만으로는 암을 확정할 수 없으며, 다른 속성들도 함께 고려해야 합니다.
예를 들어, 결절의 모양과 가장자리의 성질도 중요한 특징입니다. 부드럽고 둥근 결절은 암의 위험이 더 낮은 편이지만, 모서리가 날카롭거나 불규칙하거나, 속이 공동으로 되어 있는 "스펀지 같은" 결절은 암일 가능성이 더 높습니다.
또한 결절이 시간에 따라 얼마나 빠르게 성장하고 있는지도 중요한 정보입니다. 폐암은 대개 빠르게 성장하므로, 시간이 지남에 따라 결절의 크기가 뚜렷하게 증가하는 것은 암의 신호일 수 있습니다.
마지막으로, 환자의 개인적인 병력과 생활 습관도 고려됩니다. 흡연, 과거 암 진단 이력, 가족 중에 폐암 환자가 있는 경우, 암의 위험이 더 높아집니다.
따라서 고립성 폐결절이 발견된 경우, 암의 위험성을 정확히 평가하려면 주기적인 흉부 CT 스캔, 결절의 생검 등 다양한 검사가 필요합니다. 이러한 검사 결과를 바탕으로 의사는 최적의 치료 방안을 결정하게 됩니다.
'건강' 카테고리의 다른 글
| 봉와직염 증상 - 원인을 알아야 치료할 수 있다 ! (치료법/치료병원/치료기간/재발위험성) (0) | 2023.07.14 |
|---|---|
| 육종암 생존율 - 치료 방법은? (증상, 종류, 3기, 4기 전문병원) (0) | 2023.07.14 |
| 임파선염 증상 - 병원은 어디로? (수술, 치료기간, 좋은음식) (0) | 2023.07.13 |
| 당화혈색소 정상수치 범위 - 수치 낮추는 방법은 ! (검사방법/비용) (0) | 2023.07.13 |
| 통풍 초기증상 - 원인을 알아야 제대로 치료한다 (진료과/원인/음식) (0) | 2023.07.12 |